找回密码
 注册

一键登录:

扫描二维码登录本站

手机号码,快捷登录

手机号码,快捷登录

搜索

华西医院康复医学中心/康复医学研究所何成奇团队:经皮电刺激结合导电神经导管用于周围神经再生 ... ... ... ...

2025-4-16 12:36| 发布者: 沙鑫| 查看: 3199| 评论: 0|来自: 华西大刊论文解读

摘要: 四川大学华西医院康复医学中心/康复医学研究所何成奇团队联合生物治疗全国重点实验室苟马玲团队于2025年3月在Chemical Engineering Journal发表文章“Percutaneous electrical stimulation combined with conductive ...
 四川大学华西医院康复医学中心/康复医学研究所何成奇团队联合生物治疗全国重点实验室苟马玲团队于2025年3月在Chemical Engineering Journal 发表文章“Percutaneous electrical stimulation combined with conductive nerve guidance conduits for peripheral nerve regeneration”(点击二维码阅读原文)。本研究构建一款以导电取向纤维为内壁、水凝胶为力学增强外层的神经导管,用以模拟天然神经导电性,定向高效地传递外源性电刺激和内源性电生理信号。与经皮低频电刺激共同作用,促进周围神经形态和功能的恢复,为神经损伤修复提供了再生康复治疗新策略。


全球每年超过100万患者由于意外灾害、医源性损伤等原因造成周围神经缺损,其预后差、致残率高,给患者、家庭和社会带来极大负担。神经引导导管(nerve guidance conduits, NGCs)是目前最有前景的疗法,但神经再生速度有限导致运动终板和靶肌肉长期失去电信号调控而发生退变、萎缩,影响患者肢体功能的康复效果是亟待解决的关键问题。电刺激是临床上常用的康复理疗技术,在神经损伤及修复术后发挥促进轴突再生、缓解神经痛以及防止肢体肌肉萎缩等作用,但绝缘的NGCs材料限制着其早期及时实施和发挥最大效用。因此导电的NGCs具有更好的仿生特性,以便在体外实施经皮电刺激治疗时响应并传输电信号,且在无额外电刺激时传递体内自发的神经电生理信号,维持运动终板的功能和形态,减缓靶器官失神经支配、肌肉纤维化的速度和程度。

本研究利用静电纺丝技术,以掺杂聚苯乙烯磺酸的聚(3, 4-亚乙二氧基噻吩)[poly(3, 4-ethylenedioxythiophene): polystyrene sulfonic acid, PEDOT: PSS]和壳聚糖(chitosan, CS)为原料制备内部取向导电层,在其外部均匀包裹聚醚F127二丙烯酸酯(pluronic F127 diacrylate, F127DA)水凝胶作为弹性支撑结构,共同组成导电NGCs,并在经皮电刺激的作用下,体内观察其对大鼠坐骨神经10 mm缺损的修复作用,对再生神经的形态和功能进行综合评价。

本研究首先探究了PEDOT: PSS的浓度,以期在最少添加量和最大生物相容性的前提下模拟天然神经导电性。随后验证了F127DA水凝胶对NGCs力学性能的改善。体外实验表明本研究所制备的导电NGCs具有良好的生物相容性,能促进施万细胞突起的定向延伸。将所制备的导电NGCs结合体外低频电刺激用于修复大鼠坐骨神经缺损,结果表明,导电NGCs可显著促进周围神经形态和功能的恢复,达到自体神经移植的修复效果。

坐骨神经支配足部的感觉和运动。因此,可以通过手术侧的足底痛觉阈值来评价感觉功能的恢复情况,通过步态分析和坐骨神经指数(sciatic nerve functional index, SFI)来评价运动功能的恢复情况,通过神经电生理检测并分析复合肌动作电位(compound muscle action potentials, CMAP)和神经传导速度(nerve conduction velocities, NCV)来评价再生神经的电信号传导功能。结果显示,相较于非导电NGCs组(CF),导电NGCs组(CPF)具有更好的肢体功能恢复结果(图1)。

图1 A、B. 各组大鼠术侧热痛阈值和60 s内舔足反应次数;C、D. 各组大鼠的足迹和SFI值;E. 各组大鼠术侧代表性CMAP;F、G. CMAP和NCV的统计结果


术后对再生神经进行染色分析,结果显示,CPF组的神经再生速度与自体神经移植组(AUTO)相似。值得注意的是,与AUTO组不同,CPF组和CF组中GAP43和NCAM1的阳性信号在管壁内侧处明显聚集,且沿着管壁的方向呈取向分布(图2)。由此我们分析,两种NGCs的内壁取向纤维都有利于施万细胞和轴突的黏附和定向延伸,而CPF管壁明显具有更好的黏附效应。GAP43在CPF组分布更多,说明相较于CF组具有更多的生长轴突。这可能是添加了导电高分子的纤维具有更好的促进神经修复能力的机制所在。

图2 A. 术后3周再生神经HE染色;B. 术后12周再生神经HE染色以及NF-200(绿)和S100-β(红)染色;C. 各组中NF 200阳性定量统计结果;D. 术后3周再生神经样本NCAM(绿)和GAP 43(红)染色


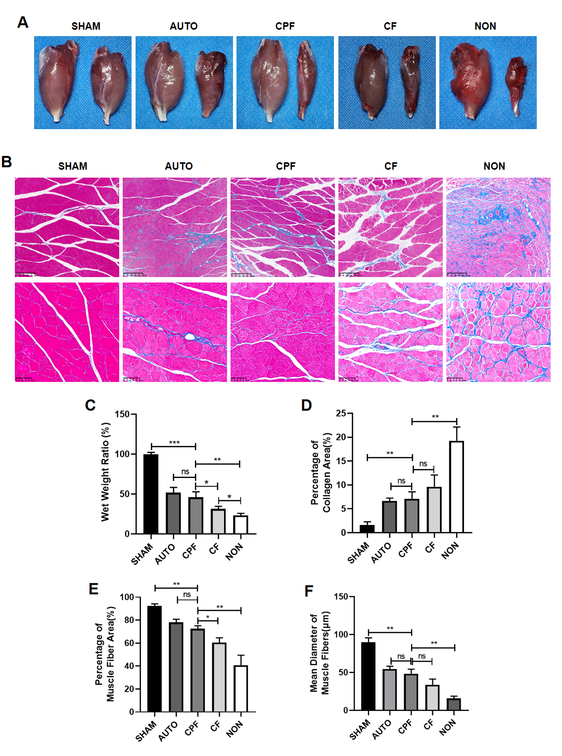
周围神经最重要的靶器官是骨骼肌,其结构、功能和营养受周围神经支配和调节。坐骨神经损伤后,缺乏神经营养和神经支配的腓肠肌就会萎缩,失去收缩功能。随着时间的推移,肌纤维萎缩进一步加剧,逐渐被增生的结缔组织和脂肪组织所取代。因此,腓肠肌萎缩程度也是评价坐骨神经修复效果的重要指标。本研究比较了各组大鼠的腓肠肌湿重比和纤维化程度,与上述形态学和功能结果一致(图3)。

图3 A. 健侧(左)和术侧(右)12周后的腓肠肌照片;B. 腓肠肌Masson染色;C. 术后12周的腓肠肌湿重比统计图;D、E. 各组胶原沉积面积和肌纤维面积定量分析结果;F. 各组平均肌纤维直径统计结果


综上所述,本研究设计了导电NGCs用于修复周围神经缺损。定向导电纤维的结构设计可以在经皮电刺激治疗期间响应并传输电信号,并在没有额外电刺激的情况下传输体内自发的神经生理信号,减缓靶器官去神经支配和肌肉纤维化的速度和程度。将导电NGCs与经皮低频电刺激联合用于修复大鼠坐骨神经缺损,能够显著促进周围神经形态和功能的恢复,达到与自体神经移植相似的修复效果。本研究在传统NGCs的基础上,模拟天然神经导电性进行创新设计,为周围神经缺损的临床治疗提供了新的再生康复研究方向。


专家点评


王光林教授:周围神经缺损患者的神经再生速度有限,长期失神经支配会导致靶器官失用,继而限制功能恢复的速度和程度。该研究立足于此,结合神经康复领域常用的低频电刺激疗法和再生医学的组织工程技术,设计了一种新型仿生神经引导导管,通过取向静电纺丝技术带来的理化性能各向异性,在神经再生方向上模拟天然神经的导电性,进行充分的表征测试后,作者使用大鼠坐骨神经缺损模型来全面评估经皮低频电刺激结合导电的神经导管在促进周围神经形态修复与功能恢复方面的作用,为再生康复策略的临床应用提供研究基础和理论依据。此外,该研究所设计的导电神经移植导管制备工艺简单,反应条件温和,所采用的组分均有良好的生物安全性,具有较好的转化应用前景。

王光林,主任医师,博士生导师,四川大学华西医院创伤医学中心主任。中华医学会创伤学分会委员、中华医学会骨科学分会创伤学组委员、四川省医学会创伤学会分会主任委员、四川省医学会骨科学分会创伤学组组长。主要研究方向为骨与软组织损伤修复,牵头申请国家前沿科技创新重点研究课题2项,参与科技部重点研发项目1项。在Small、ACS Appl Mater Inter、Nano Energy、Bone Res 等期刊发表SCI论文多篇。

作者心得


与中枢神经系统不同,周围神经系统在损伤后具有内在的再生能力。研究表明,严重缺损的周围神经即使生理功能受损,仍能够重新生长并连接到靶器官。尽管已有多种神经导管被报道能够促进神经再生并应用于临床,但神经再生速度有限,靶器官长期失去电信号调控而发生退变、萎缩是亟待解决的关键问题。为了解决以上难题,本研究设计了导电NGCs用于修复周围神经缺损。定向导电纤维的结构设计可以在经皮电刺激治疗期间响应并传输电信号,并在没有额外电刺激的情况下传输体内自发的神经生理信号,减缓靶器官去神经支配和肌肉纤维化的速度和程度,显著促进周围神经形态和功能的恢复,达到与自体神经移植相似的修复效果,为周围神经缺损的临床治疗提供了新的再生康复研究方向。

Chemical Engineering Journal 期刊重点关注化学工程的三个方面:化学反应工程、环境化学工程以及材料合成与加工。本研究从投稿到接收历时3个月,在经历1个月的首轮审稿后,4位审稿人对研究中的材料表征、体内外功效验证等方面提出了一系列更深入的修改要求。我们将每个问题都通过补充详实的实验数据予以深入讨论或回答,经历半个月的二审后被正式接收。本研究能够被接收,首先是材料设计的创新性和动物实验设计的全面性在一审中获得了审稿人的认同,其次是在修稿过程中补充了全面的数据,较好地回答了所有的修改意见,最终顺利接收。

通信作者

何成奇,四川大学二级教授、主任医师、享受国务院政府特殊津贴专家、教育部医学技术教指委委员。现任四川大学华西医院康复医学中心学科主任,华西医院康复医学研究所所长,康复医学四川省重点实验室主任,四川大学华西临床医学院/华西医院教授委员会副主任。研究方向为骨关节炎/骨质疏松/骨折的物理治疗基础与临床,骨关节炎/骨质疏松/骨折的互联网康复。先后主持科技部地方重大项目1项、国家自然科学基金项目6项等各级项目30余项;发表论文两百余篇;获得专利12项;主编出版本科教材与专著等19部,总主编康复技术规培教材13部。获得华夏医学科技一等奖、教育部科技进步二等奖、中国医师奖、中国优秀科技工作者等奖励与荣誉。

共同通信作者

苟马玲,四川大学华西医院教授、博士生导师,获得国家优秀青年科学基金,入选“教育部重要人才计划”青年学者、四川省学术与技术带头人。长期从事3D打印技术与纳米材料用于生物治疗的基础及转化研究。承担了国家重点研发计划等国家科研课题10余项,在国际杂志发表论文100余篇,申请发明专利30余项,部分已向企业转化。获教育部自然科学一等奖和四川省自然科学一等奖,担任Inter J Bioprint 等国际知名杂志的副主编或编委,担任中国医药生物技术协会3D打印技术分会主任委员、中国医药生物技术协会疾病模型专业委员会副主任委员、国家药监局医疗器械技术评审中心专家委员会委员、四川省增材制造技术协会副会长等。

第一作者

祁桐,四川大学华西医院康复医学中心/康复医学研究所助理研究员,在站博士后。主要研究方向为应用于神经再生与康复的响应性生物材料,研究成果发表在Chem Eng J、Adv Healthc Mater 等期刊。主持国家自然科学基金项目1项,入选2024年度国家资助博士后研究人员计划(C档)。

共同第一作者

王笑,四川大学高分子科学与工程学院博士。主要研究方向为自组装抗菌肽、生物基聚氨酯弹性体。研究成果发表在Chem Eng J、J Mater Chem B 等期刊,参与国自然项目1项,授权专利1项。

微信扫一扫,阅读更方便^_^


路过

雷人

握手

鲜花

鸡蛋

2009国际会议|小黑屋|川卫网审2013-330号|蜀ICP备16010396号-6|四川大学华西医院康复医学中心

成都市网上报警
不良信息举报中心 不良信息
举报中心
川公网安备 51010702000786号||Copyright by WWW.HXKF.CN All Right Reserved.2002/12/26-2021
四川大学华西临床医学院华西康复医学院|四川大学华西医院华西康复医学中心| 版权所有 Email:
网管:刘沙鑫||
点击这里给我发消息华西康复医学中心(1)华西康复医学中心(2)
华西康复主站
新浪微博
腾讯微博
微信服务号
微信订阅号
微信交流号
站点个人言论只属个人观点,不代表本站观点!如有侵权,请来电来函!
本站内容解释权归华西康复医学中心,未经授权许可不得转载他用!
站点相关内容,仅供学习交流,请勿用于其他商业用途!
网络信息不能进行诊断、治疗,如有需要请前往医院诊治!

GMT+8, 2026-5-18 14:46 , Processed in 0.105467 second(s), 19 queries .

Powered by Discuz! X3.5

© 2001-2026 Discuz! Team.

返回顶部