找回密码
 注册

一键登录:

扫描二维码登录本站

手机号码,快捷登录

手机号码,快捷登录

搜索

四川大学华西医院康复医学中心魏全教授团队和老年与免疫机制研究室付琛颖副研究员团队揭示脉冲电磁场是治疗动脉粥样硬化的新途径 ...

2026-1-8 07:39| 发布者: 沙鑫| 查看: 960| 评论: 0|原作者: 程鸿馨

摘要: 2025年11月28日,四川大学华西医院魏全教授团队和老年与免疫机制研究室/国家临床医学研究中心付琛颖副研究员团队在杂志Signal Transduction and Targeted Therapy (IF=52.7)上发表了题为“Pulsed electromagnetic ...


20251128日,四川大学华西医院康复医学中心魏全教授团队和老年与免疫机制研究室/老年疾病国家临床医学研究中心付琛颖副研究员团队在杂志Signal Transduction and Targeted Therapy IF=52.7)上发表了最新研究论文Pulsed electromagnetic fields inhibit atherosclerosis by regulating pyroptosis through membrane tension-mediated mechanosensitive channels。该研究发现适宜参数的脉冲电磁场(PEMFs)具有治疗动脉粥样硬化的作用,并从膜张力的角度探索了脉冲电磁场治疗动脉粥样硬化的具体机制,揭示了一个新的调控轴,为动脉粥样硬化和抗炎治疗的研究提供了新方向、新思路

 

动脉粥样硬化是一种复杂的慢性炎症性疾病,已成为全球重大公共卫生问题。据世卫组织统计,该病占全球死亡人数的三分之一,严重威胁人类健康。内皮细胞焦亡是动脉粥样硬化起始的关键因素,它能够诱导脂质沉积以及胆固醇结晶的形成。NLRP3炎症小体是细胞焦亡的关键上游信号,其激活大量释放IL-1β/IL-18等炎症因子,加速疾病进展。脉冲电磁场(PEMFs)是一种非侵入性物理治疗手段,已被发现具有多种血管保护功能,包括改善血管功能、降低血压和抑制炎症等。然而PEMFs是否对动脉粥样硬化有治疗作用及其机制如何,亟待进一步探索。

研究团队在体内外实验中证实,15 Hz1.5 mTPEMFs治疗能显著减少ApoE-/-小鼠主动脉斑块面积和血管通透性,降低血清中IL-1βIL-18等关键炎症因子水平,且能恢复细胞活力和细胞膜完整性。这表明PEMFs具有明确的抗动脉粥样硬化与全身抗炎效果,且15 Hz1.5 mT为最优参数。

进一步的探究发现,PEMFs干预会引起主动脉组织及内皮细胞中NLRP3炎症小体核心组分(NLRP3ASCcaspase-1 p20)及其关键蛋白GSDMD-NT表达的下降,细胞焦亡比例显著减少。这提示PEMFs的治疗作用与抑制NLRP3通路介导的内皮细胞焦亡密切相关。

为明确该治疗作用的主要靶点,团队构建了NLRP3全敲小鼠模型及血管内皮细胞特异性NLRP3敲低实验体系,证实NLRP3的缺失或抑制能类比PEMFs的保护作用,而激活NLRP3表达则抵消了PEMFs的益处。且PEMFs与抑制剂联用无叠加效应,强有力地证明PEMFs主要通过抑制内皮细胞NLRP3通路发挥抗动脉粥样硬化作用。

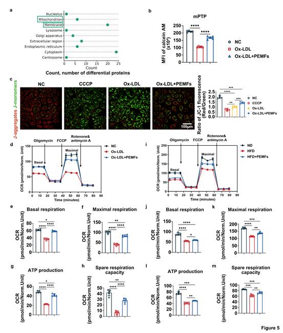
通过人群血浆蛋白质组学结果提示,与非冠心病人群相比,冠状动脉粥样硬化患者线粒体相关蛋白变化显著。利用一系列线粒体功能实验发现,Ox-LDL环境下,内皮细胞出现线粒体膜电位丧失、呼吸功能受损、ROS生成增多和MPTP开放增加等功能障碍,而PEMFs干预能改善这些异常,包括在小鼠和细胞水平上恢复线粒体的呼吸功能,这揭示了线粒体功能改善是PEMFs抗炎治疗的关键路径。

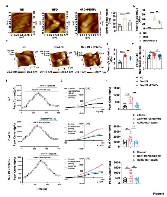
蛋白质组学结果同样强调了细胞膜的改变是冠状动脉粥样硬化患者的关键特征,促使研究团队思考膜结构变化和机械感受途径是否将外部刺激与细胞内信号传递联系起来。原子力显微镜发现,动脉粥样硬化内皮细胞形态紊乱、硬度增加、膜张力升高,PEMFs能逆转这些机械学异常。分子机制上,PEMFs特异性下调了机械敏感通道TRPV4(而非TRPC1)的表达和电生理活性,表明PEMFs首先通过调控细胞膜表面机械敏感通道发挥作用。

 

总的来说,本研究发现了治疗动脉粥样硬化的非药物非侵入性的新方法PEMFs,揭示了PEMFs的抗炎和抗动脉粥样硬化作用是通过调节膜张力以下调机械敏感性TRPV4通道的活性,从而改善线粒体功能障碍和抑制NLRP3炎症小体介导的焦亡,起到抑制动脉粥样硬化的作用。

四川大学华西医院魏全教授、付琛颖副研究员为本文的共同通讯作者,程鸿馨博士、张庆博士后为本文的共同第一作者。本研究获得国家重点研发计划、国家自然科学基金、四川省自然科学基金创新群体等项目的资助。

最后通讯作者:魏全,教授/主任医师/博士生导师/博士后合作导师,医学博士、博士后,四川大学华西医院一级专家,四川大学华西医院康复医学中心主任,华西康复医学院院长,四川大学医学技术学院副院长,康复医学四川省重点实验室主任,首届国家医学高层次人才-国家优秀青年医师,国家重点研发计划项目首席科学家。入选四川省“天府峨眉计划”、四川省学术和技术带头人、四川省卫生健康英才计划首席专家。现任世界神经康复联合会区域副主席、中华医学会物理医学与康复学分会副主任委员、中国康复医学会理事等。主持各级纵向科研项目16项,包括牵头负责国家重点研发计划项目1项、国家重点研发计划课题1项、国家自然科学基金面上项目3项、四川省自然科学基金创新群体项目1项等,发表文章131篇,其中以第一/通讯作者身份在CirculationSTTTAdv Sci等期刊发表SCI论文81篇,ESI高被引论文4篇。主编、参编教材/专著13部,牵头和参与制定指南/专家共识11部,获发明专利和软件著作权6项。获首届华夏青年医学科技奖、四川省科技进步二等奖、中国康复医学会科学技术奖一等奖、四川大学青年科技人才奖、四川大学优秀医务工作者、华西医院年度“医师榜样”等荣誉。

 

原文链接:https://www.nature.com/articles/s41392-025-02479-2.

微信扫一扫,阅读更方便^_^


路过

雷人

握手

鲜花

鸡蛋

2009国际会议|小黑屋|川卫网审2013-330号|蜀ICP备16010396号-6|四川大学华西医院康复医学中心

成都市网上报警
不良信息举报中心 不良信息
举报中心
川公网安备 51010702000786号||Copyright by WWW.HXKF.CN All Right Reserved.2002/12/26-2021
四川大学华西临床医学院华西康复医学院|四川大学华西医院华西康复医学中心| 版权所有 Email:
网管:刘沙鑫||
点击这里给我发消息华西康复医学中心(1)华西康复医学中心(2)
华西康复主站
新浪微博
腾讯微博
微信服务号
微信订阅号
微信交流号
站点个人言论只属个人观点,不代表本站观点!如有侵权,请来电来函!
本站内容解释权归华西康复医学中心,未经授权许可不得转载他用!
站点相关内容,仅供学习交流,请勿用于其他商业用途!
网络信息不能进行诊断、治疗,如有需要请前往医院诊治!

GMT+8, 2026-4-28 20:35 , Processed in 0.096829 second(s), 18 queries .

Powered by Discuz! X3.5

© 2001-2026 Discuz! Team.

返回顶部